
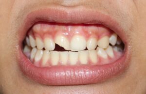
A chipped tooth is one of those dental surprises that can happen in an instant—maybe you bit down on something hard, took an accidental hit while playing sports, or noticed a small rough edge while running your tongue across your teeth. No matter how minor it seems, many people wonder the same thing: will a chipped tooth get better on its own? The short answer is no. Teeth cannot regrow enamel, and even a small chip can lead to bigger issues if left untreated.
Teeth Don’t Heal Like Other Parts of the Body
Unlike skin or bone, teeth don’t regenerate the hard enamel that protects them. Once a piece of enamel breaks off, it’s gone for good. That means a chipped tooth won’t naturally “repair” itself, even if the chip is small or doesn’t cause pain. While you may get used to the sensation after a few days, the structural damage is still there.
What Happens If You Ignore a Chipped Tooth?
A chipped tooth might seem like a cosmetic issue, but it can create several long-term problems:
Increased Sensitivity
The enamel protects the inner layers of your tooth. When it chips, the dentin underneath can become exposed, leading to sensitivity to hot, cold, or sweet foods.
Higher Risk of Tooth Decay
A chip creates a rough, uneven surface where plaque and bacteria can collect more easily. This increases the chances of developing cavities.
Further Cracking or Breakage
Even a small chip can weaken your tooth structure. Everyday activities—chewing, grinding, or biting—may cause the tooth to crack more severely over time.
Possible Infection
If the chip is deep enough to expose the pulp (the inner nerve), bacteria can enter and cause infection, potentially requiring a root canal.
How a Dentist Can Fix It
Fortunately, chipped teeth are very treatable. Your dentist will recommend a solution based on the size and location of the chip:
- Dental bonding to smooth and reshape small chips.
- Veneers for chips on front teeth that also affect appearance.
- Crowns for larger fractures that need full coverage.
- Root canal therapy if the tooth’s nerve is damaged.
Prompt treatment not only restores the tooth’s appearance but also protects your long-term oral health.
A chipped tooth will not get better on its own, but it’s usually easy to fix with professional care. If you notice a chip, even a tiny one, scheduling a dental appointment is the best way to prevent complications and keep your smile strong and healthy.
About the Practice
Are you experiencing a dental emergency? Prime Time Dentistry has same-day, after-hours, and weekend availability to get you in as soon as possible and manage your pain. Our dedicated dental team has years of experience, and our office is insurance-friendly with financing options available! We’re always here to help your hurting smile. Simply schedule an appointment online or call (945) 207-7463.
